Your Trusted Family, Cosmetic & Implant Dentistry in Town of Hempstead's Franklin Square

Clocktower Dental is a modern Franklin Square-based dentistry practice located in the heart of the Town of Hempstead. We've been proudly serving our community for over 25 years, including patients from neighboring areas such as Garden City, West Hempstead, and even as far as Islip.

Today, the dental practice is a state-of-the-art facility that features many advanced technologies, from dental lasers to low-radiation 3D scanning to 3D printing and intra-oral scanning. That means an approach that focuses on comprehensive treatment, thorough planning, and dental treatment's highest precision and accuracy.

The philosophy at Clocktower Dental is always patient-centered. When you walk through our doors, our goal is to be warm and soothing and to deliver the utmost quality and professional service. That's reflected in the attention to detail from our doctors and a commitment to your health day in and day out.

Our doctors focus on all areas of dentistry, from pediatric and restorative dentistry to oral surgery, endodontics, and cosmetic dentistry. Our goal is not just to fix dental problems but to identify the root causes. We seek out risk factors and help establish and recommend sound routines and products that are evidence-based in helping our patients maximize their dental and overall health.

We look forward to meeting you and letting you experience Clocktower Dental and all we have to offer. Come visit our practice and meet our wonderful and dedicated team of dentists, hygienists, and dental assistants. We hope you will also become a part of our family.

MoreLess

Specializing In Dental Implant Procedures

We offer the latest in cosmetic dentistry and functional replacement for missing teeth: dental implants. Implants require dental surgery, but they become embedded teeth replacements — unlike dentures and dental bridges you don’t have to remove them to clean them. You treat them just like your natural teeth.

specializing on implants placement using PerioLase MVP-7 specializing on implants placement using waterlase laser dentistry

Qualified Modern Dentists in Franklin Square

Our board-certified Franklin Square dentists are committed to giving you a healthy, functional, and beautiful smile. We focus on providing painless treatments that improve the health and appearance of your teeth and gums, so you can enjoy a confident and radiant smile.

Ramin Rayhan, DDS
Ramin Rayhan, DDS Family & Cosmetic Dentist
Michael F Kelley, DDS
Michael F Kelley, DDS General & Cosmetic Dentist
Richard Nejat, DDS
Richard Nejat, DDS Periodontist & Dental Surgeon

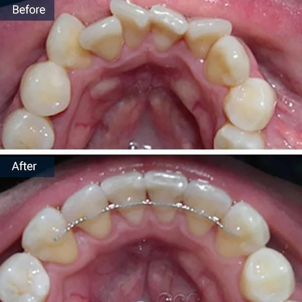
Patients Smile Gallery

See the difference our Franklin Square dentistry specialists make. These before-and-after photos show real patients and real results.

What Our Patients Think About Us

Read genuine feedback from people who count on our modern dental office in Franklin Square for trusted, high-quality care.

My experience with Clock Tower was and still is very good. The dentist and staff are professional and caring, excellent work, would highly recommend!

Ariska Stoddart - Google Reviews

Great office staff! Mike Kelly, great dentist!! Great everything. I’m recommending everyone. I was recommended by a good friend and he was right about everything. So honest, so clean and modern. Don’t go anywhere else!!!!!

Robert Sands - Google Reviews

This was one of the most kind and friendly dental offices I have every been to. The facility was clean and beautiful. I am always a little nervous when I go to the dentist and I was put at ease as soon as I was greeted. Thank you, Dr Rayhan, for being such an incredibly gentle, kind and educating Dentist!

Keren Day - Google Reviews

It is with great pleasure that I write this review of my dental care provided by MD Rayhan. You will not find a more professional,caring and compassionate dentist anywhere.I was upset about losing my teeth when MD Rayhan stepped right in and provided support and genuine concern for my dental care which was adequately treated.He has a heart of GOLD for his practice and patient care. May God bless MD Rayhan.

Joyce Green - Google Reviews

I have been going to Clocktower for over ten years, and absolutely love it! The dentists are great, the staff is friendly, and most importantly, they take great care of my teeth. I have everything done there - from bi-annual cleanings, to a tooth extraction and an implant. I love that the office keeps up with the latest dental technology. I have never had a bad experience, and I don't ever expect to have one either.

Georgia Laudani - Google Reviews

I’ve been going to this dentist for about 4 years. The dentist and hygienist are top notch. I never had a bad experience. They really care and help reinforce good habits like using a water pick device and flossing regularly. I would highly recommend Clock Tower if you need a dentist in Franklin Square.

P. Byday - Google Reviews

Dr. Rayan and his whole staff are wonderful. Everyone is so friendly and professional. I was always frightened of the dentist, but Dr. Rayan always treats me with kindness and patience. It’s a great office.

Marianne Allen - Google Reviews

Very nice people work there, the Dental assistant and Doc were very quick, professional and painless! They do great work.

Corey Verity - Google Reviews

Dentistry Services in Franklin Square, NY +

Cosmetic Periodontal Treatments +

Life-Changing Dental Implant Experiences

See the life-changing effects of dental implants at Clock Tower Dental, as told by Charles and Roseanne. Their stories highlight the journey to new smiles and boosted confidence.

State-of-the-art Dental Office in Franklin Square

You deserve more than just clean rooms. Our facility uses the latest tech — 3D scans, lasers, intra-oral cameras — all part of how we raise the standard in Franklin Square dental care.

Front Desk Waiting Area 2 Exam Room 1 Exam Room 2 Diplomas Awards Plaques Orthophos CBCT

Our Franklin Square Dentistry Center Equipped with Advanced Technology

We combine comfort and precision. From high-resolution imaging to minimally invasive tools and lasers, our dentists in Franklin Square work in a space designed for better, faster, and gentler treatment.

PIC System Implant Oral Scanner Navident Implant Placement Guidance System 3shape Trios 5 Dental Scanner Millennium PerioLase MVP-7 Dental Laser Kavo Diagnodent Laser Caries Detection Unit Primescan, Dentsply Sirona Orthophos CBCT Penguin RFA - Implant Stability Monitor 3D Seiler Dental Surgical Microscope MicronMapper S.I.N. 360 Photogrammetry Schick USB Cam4 Intraoral Camera

Frequently Asked Questions

What to Expect at the First Dental Visit

Your first visit is all about getting to know your smile. We’ll take digital X-rays, do a thorough exam, and talk with you about any concerns or goals you have. If anything needs attention, we’ll go over your treatment options and create a care plan that fits your needs and schedule.

How Do I Find a Good Dentist Near Me?

Finding the right dentist can make a big difference in your oral health and comfort. Start by typing “dental near me,” “dentist near me,” or “dental offices near me” into Google. Pay attention to online reviews, but also dig deeper — check if the dentist offers the specific services you need, like cosmetic treatments, implants, or sedation options.

A good dental office should use modern technology like digital X-rays or 3D imaging, offer flexible appointment hours, and take the time to personalize your care. It also helps if the team speaks your language, explains things clearly, and makes you feel at ease from the first visit.

At Clocktower Dental, we combine advanced tools and years of experience with a welcoming approach. Whether you're due for a checkup or planning a full smile makeover, we’re here to make every visit as smooth and stress-free as possible.

How Often Should I Go to the Dentist?

Most people should see their dentist every six months for a cleaning and checkup. But if you have gum issues, cavities, or ongoing dental work, your dentist may suggest more frequent visits. Regular care keeps your teeth healthy and helps catch small issues before they turn into bigger problems.

What Payment Options or Financing Plans Are Offered at Your Franklin Square Dental Clinic?

We welcome most major dental insurance plans, credit cards, and debit cards at our Franklin Square dental clinic. To help make treatment accessible, we offer flexible financing options. Please note: we do not accept Medicaid, Medicare, Healthfirst, Fidelis, or other government insurance. Our staff can help you select the financing option or plan that best suits your needs.

Do You Offer Emergency Dental Care in Franklin Square?

Yes, we provide prompt emergency dental care for patients in Franklin Square. Whether you have a severe toothache, broken tooth, or other urgent dental issues, our team is ready to help you as quickly as possible.

Can I Schedule a Dentist Appointment Online in Franklin Square?

Absolutely! You can conveniently schedule your dentist appointment online through our website. Just select a time that works for you, and our team will confirm your visit.