What Can Cause Tooth Loss?
There are several reasons why you may lose a tooth. Sometimes, it can be knocked out due to trauma or sporting accidents. Other times, tooth loss can occur if you have an untreated cavity or a severe tooth infection. Some people have teeth congenitally missing, meaning they never developed in the jawbone. For those dealing with missing multiple teeth, implants for seniors with tooth loss can provide a durable and natural-looking solution to restore function and aesthetics to your smile.
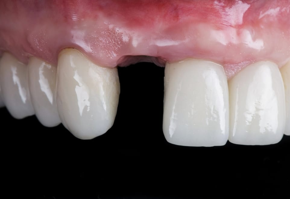
Why Replace a Single Missing Tooth?
There are important reasons why you should restore a missing single tooth, including the following.
- Your teeth are designed to function together. If you lose one, there is a risk your remaining teeth will shift toward the gap, causing problems with your bite.
- A complete set of teeth helps you bite and chew food more easily, spreading the stress and strain evenly throughout them.
- When you have an incomplete set of teeth, your remaining teeth can wear down unevenly, and there is an increased risk that they could become chipped or cracked.
- Teeth help to support the facial muscles in your cheeks and lips, ensuring that your facial structure is maintained.
Options for Restoring a Single Missing Tooth
Clock Tower Dental has several missing tooth replacement options available, which include:
- Removable partial denture.
- Dental bridge.
- Maryland bridge.
- Dental implant.

Removable Partial Denture
A one-tooth removable partial denture is also called a dental flipper. It consists of a single denture tooth attached to a gum-colored acrylic base and will fill in the gap in your smile.
A one-tooth denture is not particularly strong or stable, and you might not find it very comfortable to wear. We would generally only recommend a dental flipper as a temporary prosthesis. It can be an option after you initially have a tooth removed and while you decide on how to replace it permanently.
Dental Bridge
A dental bridge is a tried and tested way to replace a missing tooth and is generally a three-unit or three-tooth appliance. It has two crowns fitted over the abutment teeth on either side of the gap.
We must reshape these abutment teeth so the crowns fit nicely and do not feel too big or bulky. The replacement tooth or pontic is attached to the crowns and rests directly on your gum. The pontic is contoured to look and feel natural and lifelike.
If you do not have suitable abutment teeth on either side of the gap, we might be able to fit a cantilever bridge. This bridge is cantilevered off just one abutment tooth, which is covered with a crown and attached to the pontic. We only recommend a cantilever bridge when replacing teeth that do not come under significant stress and strain while chewing food, such as front teeth.
Maryland Bridge
A Maryland bridge is smaller than a traditional bridge. It doesn’t have crowns that fit over the abutment teeth and instead is held in place by small wings made from ceramic or metal. These are attached to the inner surfaces of each abutment tooth. The pontic is attached to the wings.
The wings are cemented onto your teeth; usually, little or no tooth preparation is needed. However, a Maryland bridge is relatively fragile and can pop off under too much pressure. If this happens, we can generally re-cement the bridge back into place.
Usually, a Maryland bridge is only used when replacing a small front tooth. We can’t use this type of bridge when restoring larger back teeth used for chewing.
Dental Implant
A dental implant is the most modern solution for tooth loss and is unique in that it replaces your tooth root with a small implant screw or post. Many patients choose this treatment because teeth implants provide a permanent, stable, and natural-looking replacement. The implant screw is specially designed to become fused into your jawbone, so it is strong enough to support an implant crown.
If we consider you suitable, we recommend you consider this option carefully. It is a long-lasting solution for tooth loss and is self-supporting, so we do not need to reshape abutment teeth, potentially removing healthy tooth structure. Additionally, a dental implant helps protect your jawbone, preventing bone loss that occurs naturally after tooth roots are removed.
Single dental implants are very easy to look after as you can brush and floss around them exactly as you care for your natural teeth.
Understanding the Cost of Replacing a Single Tooth
Initially, a dental implant is the most expensive solution, but it can be more cost-effective in the long term. All dental restorations need replacing occasionally. When replacing your implant crown, it will cost less compared with a three-tooth or three-unit bridge. However, a short surgical procedure is needed to insert the implant.
Dental bridges are affordable, strong, and secure, and they should last 10 years or more before they need replacing. The price of a dental bridge will depend on the materials you choose. The cheapest option is a dental flipper, but it will not feel comfortable or last long.
We know cost is an important factor for most people and can advise you on the price of each option when you visit Clock Tower Dental. Our dentist will explain each option clearly, and we can show you examples of the different solutions and materials available, enabling you to choose the right treatment for your needs.

