What Are Wisdom Teeth?
Your wisdom teeth are the final four molars to erupt at the back of your mouth. You have one on each side of your upper and lower arch. Some people find their third molars erupt normally and cause no problems. For others, their wisdom teeth may partially or not erupt at all, which can lead to wisdom teeth pain.
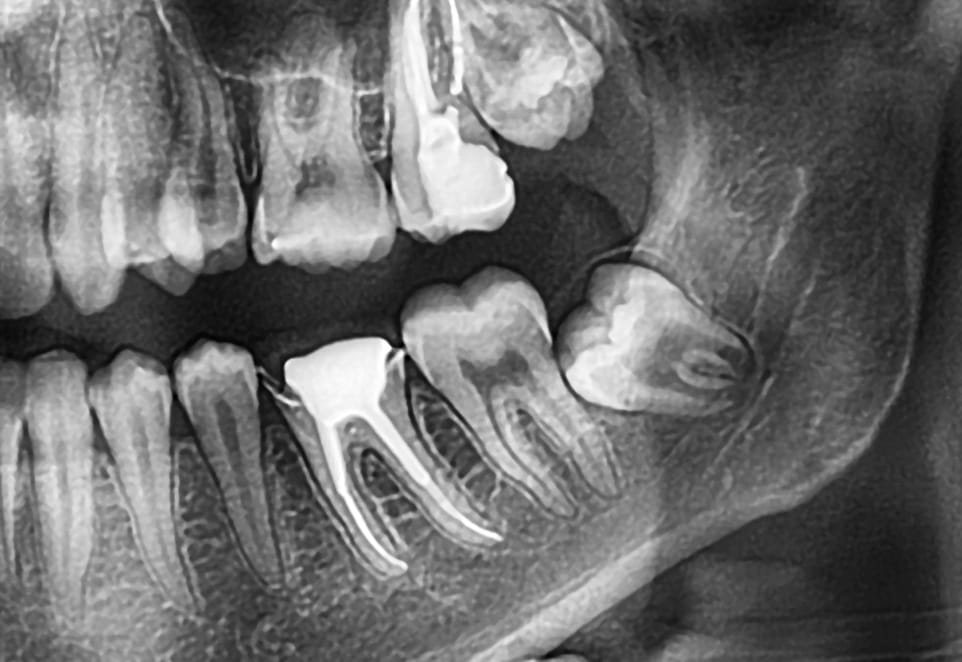
One potential problem occurs when a wisdom tooth become impacted. Impacted teeth can sometimes lead to infection, requiring professional wisdom tooth infection treatment to prevent further complications.
When a tooth is impacted, it can cause the following issues:
- Grows up or down but is still trapped in your jawbone
- Grows at an angle toward the back of the mouth
- Grows at an angle toward the adjacent tooth, your second molar
- Tries to erupt at a right angle so it may come through your gum sideways

What Problems Can Impacted Wisdom Teeth Cause?
When a wisdom tooth cannot erupt correctly, it can cause problems like:
- Pain
- Gum disease (periodontal disease)
- Tooth decay
- Damage to the adjacent tooth
- Damage to the surrounding jawbone
- Development of a cyst around the impacted wisdom tooth, a fluid-filled sac
- Food and debris can become trapped behind the wisdom tooth and is difficult to remove due to its location at the back of your mouth
What Are the Signs You Need Your Wisdom Teeth Removed?
When you have a problem wisdom tooth, it can cause a range of symptoms, including:
- Pain right at the back of the mouth
- The gum around the tooth can become swollen and red
- You may develop bad breath or a nasty taste
- Chewing or fully opening your mouth could become more difficult
- Your existing adult teeth may start to shift position due to overcrowding
If you are concerned your wisdom teeth are causing issues or have yet to erupt, we recommend scheduling a dental exam at Clock Tower Dental. Our team specializes in wisdom teeth removal in Franklin Square, providing safe, effective care tailored to your needs.
What to Expect When You See a Dentist for Wisdom Tooth Problems
If you are a regular patient, we will monitor the location of a wisdom tooth that have yet to erupt. Digital dental X-rays show us the position of these teeth in your jaws and let us determine if they can come through problem-free. We wouldn’t recommend their removal unless it is clear they will cause problems or have already begun to do so.
Wisdom teeth that are already causing pain or discomfort or are infected might need wisdom teeth surgery urgently.
The Wisdom Teeth Removal Process: What to Expect During the Procedure
After we have examined your mouth and determined your wisdom teeth need removing, we can plan your treatment. Your custom treatment plan will depend on how many wisdom teeth need removing and whether their extraction is likely more complex, for example, if they are impacted.
At this stage, we will also discuss whether you are comfortable with local anesthetic or prefer dental sedation. We may recommend sedation dentistry if you require all four wisdom teeth removed or when wisdom tooth extraction is more complicated.
The Wisdom Teeth Surgery Process
After numbing your mouth and providing dental sedation if appropriate, we can extract your wisdom teeth quickly.
Removing Fully Erupted Wisdom Teeth
A simple extraction for fully erupted wisdom tooth will not take long. Special tools are used to loosen and remove the tooth. The empty socket is then cleaned and left to heal naturally.
Removing Impacted Wisdom Teeth
If you require wisdom teeth surgery to remove impacted teeth, we will need to make an incision in your gum and a small opening in your jawbone to expose the tooth inside.
An impacted wisdom tooth will likely be sectioned or cut into smaller pieces, making removing through a smaller hole easier. After your wisdom teeth are removed, we can close up the surgery site with stitches so it can heal.
Wisdom Teeth Removal Post Care Instructions
We will provide detailed post-care instructions before you leave our dental office. These will include helpful advice on keeping the surgery site clean and infection-free and information on brushing and flossing the rest of your natural teeth.
Some general advice on healing and recovery is below.
Bleeding
The surgery site may ooze slightly for the first 24 hours after your wisdom tooth is removed. We may provide you with gauze pads to bite down on to help stop the bleeding and allow a blood clot to form in the empty socket. It’s extremely important not to disturb this blood clot, so try not to spit too much when cleaning your teeth.
Oral Care
We may advise avoiding your normal brushing and flossing routine for 24 hours after oral surgery. Using mouthwash or a warm salt water rinse can help clean your mouth and aid healing.
Managing Pain and Discomfort
Over-the-counter pain relief may be adequate. Otherwise, we can prescribe something stronger. You might find holding an ice pack against your face helpful in easing discomfort or pain. Switch to using moist heat after the first 24 hours.
Swelling and Bruising
You may experience some swelling and bruising, especially if you had all of your wisdom teeth removed. These are normal parts of wisdom teeth recovery and usually improve within two or three days. Bruising may take a little longer to get better.
Rest During Wisdom Teeth Recovery
After your wisdom teeth are removed, plan to spend the rest of the day relaxing. Our dentist will provide more detailed advice on when you should be able to return to everyday activities. This may be as soon as the next day.
Food and Beverages
Ensure you drink plenty of water after your wisdom teeth extraction. However, avoid drinking anything that is carbonated, alcoholic, caffeinated, or very hot beverages for the first 24 hours. Do not use a straw, as the sucking action could dislodge the protective blood clot in the empty tooth socket.
Choose soft foods that require minimal or no chewing for the first 24 hours, and gradually introduce harder foods when you feel comfortable. It’s best to avoid foods that could become stuck in the empty socket or irritate the surgery site.
Smoking
It’s important to avoid smoking for at least three days after surgery, preferably longer. If you use chewing tobacco, you should avoid this product for at least a week. Smoking and tobacco products can slow down healing, increasing the risk of complications.
What Are the Potential Complications and Risks of Wisdom Teeth Removal?
Most people find recovery after pulling wisdom teeth smooth and uneventful, with no complications. However, there is always a slight risk and potential complications can include:
- Infection. If infection occurs, the surgery site can become painful and swollen, or you could feel feverish.
- Nerve damage. This is rare but can occur when removing lower wisdom teeth.
- Dry socket. This problem can occur if the protective blood clot is dislodged or fails to form, making the empty socket increasingly painful. It is easy to treat by cleaning the socket and placing a protective dressing.
Please remember that we are always available to help you. Contact us if you notice any of the following symptoms.
- Severe pain that increases after a few days
- Worsening swelling
- Excessive bleeding
- A nasty taste
- Numbness
- Pus in the empty socket
- Fever
- Difficulty swallowing
It’s important to stress that these problems are rare. For expert, gentle care, trust Clock Tower Dental for wisdom tooth extraction in Franklin Square to relieve pain and protect your long-term oral health.

