Why Choose Clock Tower Dental for Your Cosmetic Dentistry?
Our Franklin Square cosmetic dental office takes a patient-centered approach to every procedure. We listen to you, discuss your aims and treatment goals, and devise a custom treatment plan that we hope will exceed your desires.
Here’s why patients throughout Franklin Square and beyond choose Clock Tower Dental:
- Open 7 days a week
- High-quality care
- Focus on patient care and comfort
- Recommended by family and friends
- Exceptional reviews
- Over 20 years in business
- Amazing aesthetic and functional results
- Comfortable and welcoming environment
- Incredible in-house team
- Comprehensive range of services
- Highly experienced and trusted doctors
- Convenient appointments, including same-day and weekend availability
You will benefit from the latest technologies, and we use only the best materials to deliver longer-lasting results. Dr. Kelley and Dr. Rayhan have a special interest in smile design and bring years of experience in creating artistic smiles that complement your age, gender, facial structure, and skin tone.
Most importantly, we ensure every treatment we recommend is suitable for your needs, helping to protect your dental health.
Our Cosmetic Dentists
Our Cosmetic Dentistry Procedures
Clock Tower Dental offers a wide range of high-quality cosmetic dental procedures in Franklin Square and the surrounding area. We tailor each treatment to your needs, ensuring natural results using the latest dental innovations.
Our services include the following procedures:
You can find far more information about all these procedures on their dedicated web pages.

What Are the Benefits of Aesthetic Dentistry?
Cosmetic dentistry can help to improve the overall appearance of your teeth. Some of the issues it can address include:
- Discolored and stained teeth
- Cracked and chipped teeth
- Misaligned teeth
- Unsightly spaces between teeth
- Worn teeth or teeth that aren’t quite the right length
- Misshapen teeth
Correcting these issues can help improve self-confidence and self-esteem, giving you a healthy, attractive smile. Spending time improving your smile can also be a great incentive to look after it by practicing good oral care afterward.
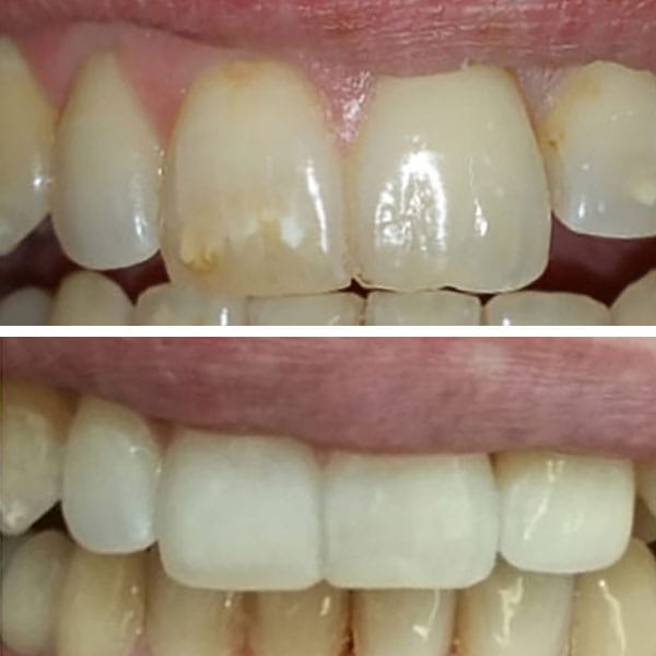
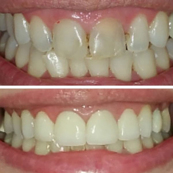
Our Before and After Gallery
Is Cosmetic Dentistry Different from Restorative Dentistry?
Cosmetic dentistry and restorative dentistry are distinct from each other, although they often overlap. The main goal of cosmetic dentistry is to improve the appearance of teeth. Restorative – To restore the function and structure of the teeth.
Some treatments can provide cosmetic and restorative dental benefits, even though this may not be the primary focus. Others, such as teeth whitening, are purely aesthetic.

Patient Experience
The Cosmetic Dentistry Process

There are several steps involved in planning and providing any cosmetic dentistry procedure. These steps will vary according to your tailored treatment plan but can include:
Initial Consultation and Smile Assessment
Initially, we will need to see you for a proper assessment that includes a dental examination. During this visit, we must ensure your teeth and gums are healthy enough for cosmetic dentistry.
If you have any outstanding dental issues, we will treat them first. Ensuring you have healthy teeth provides a strong foundation for your cosmetic dental treatments, helping the results to last longer.
Learning about your aims and desires for treatment is extremely important. Our board certified cosmetic dentist will want to know which aspects of your smile you wish to change. We will also ask if there are any unique features you would like to preserve that would help make your smile unique.
Once we understand your treatment goals, we can devise a custom plan.
Your Custom Treatment Plan
Your custom treatment plan is tailored to meet your aesthetic goals and includes details of all procedures that will provide the desired results.
Our cosmetic dentist will clearly explain your plan, including how each treatment will help you achieve your aims. Sometimes, more than one option can provide similar outcomes. We also discuss the associated costs, which can differ according to the technique and materials chosen.
Scheduling Your Cosmetic Dental Treatments
We can schedule your appointment once you have decided on a suitable treatment plan. The step-by-step process for your treatment will depend on the procedure chosen.
Treatments can take place in our comfortable, conveniently located dental office. Our friendly dental team will ensure you feel relaxed and that treatment is pain-free.
Follow-Up Care
After completing your treatment plan, Dr. Ramin Rayhan can provide customized information on how to care for your mouth. Recovery is generally speedy. For example, teeth whitening and dental bonding require little or no downtime.
We also recommend following a good oral care routine, including regular dental checkups and hygiene appointments. A good follow-up plan from your cosmetic dentist will help you maintain your smile and enjoy lasting results.
FAQ
How to Find a Best Cosmetic Dentist Near Me?
Finding the right cosmetic dentist can make a big difference in your smile and confidence. Start by typing “cosmetic dentist near me” into Google. Look at online reviews, but also check if the dentist offers the specific cosmetic services you need, like teeth whitening, veneers, or bonding. Don’t forget to consider their experience, technology, and personalized treatment options to ensure the best results.
What’s the Difference Between a Cosmetic Dentist and a General Dentist?
A general dentist treats oral health conditions like cavities and gum disease and focuses on preventive care. In contrast, a cosmetic dentist focuses on enhancing the look of your smile using techniques like veneers, bonding, teeth whitening, and smile makeovers. Despite their training and focus on aesthetic enhancements, many cosmetic dentists also offer general dental care.
Is Cosmetic Dentistry Worth It?
Cosmetic dentistry may be a wise investment if you want to improve your appearance, increase self-confidence, or fix dental flaws. Cosmetic procedures, whether they involve whitening, reshaping, or restoring your smile, can have a long-term effect on your oral health and sense of self. You can determine what’s best for your needs and budget by speaking with a skilled cosmetic dentist.
How Much Will Cosmetic Dentistry Cost?
The cost of cosmetic dental procedures can vary. Some treatments, like tooth whitening and dental bonding, are cost-effective and highly affordable. Others, like porcelain veneers, cost more, but the results last longer.
Will My Dental Insurance Cover the Cost of Cosmetic Dentistry?
It’s unlikely any cosmetic treatment is covered unless it has restorative benefits or is considered necessary for oral health. Some exceptions may include crown lengthening, where treatment is necessary to restore a tooth, or dental bonding to mend chips or cracks in teeth. Certain treatments like teeth whitening will always be considered cosmetic as while it may give you a beautiful bright smile, it would not protect your teeth or gums.
Book Your Appointment
For more information or to schedule a consultation with our highly rated cosmetic dentists in Franklin Square, contact Clock Tower Dental at 516-874-2317. Known in Long Island and nearby areas as leading cosmetic specialists, our team provides personalized care and takes the time to answer your questions and explain available procedures. Same-day appointments may be available.






