Porcelain Veneers Before & After Case 1

Porcelain Veneers Before & After Case 2

The patient presented with uneven, discolored teeth with visible gaps, creating an inconsistent and less attractive smile. Porcelain veneers were applied to improve the overall appearance of the teeth. These custom-made shells covered the surface imperfections, corrected the gaps, and created a uniform alignment. The transformation is remarkable. The patient now enjoys a perfectly aligned, radiant smile with uniform, whiter teeth that enhance their confidence and overall appearance.
Porcelain Veneers Before & After Case 3

The patient’s teeth displayed discoloration and unevenness, affecting the natural balance and brightness of their smile. Porcelain veneers were applied to cover the surface imperfections and create a more uniform appearance. This advanced cosmetic solution effectively corrected discoloration and evened out the alignment. The transformation is striking. The patient now has a radiant, well-proportioned smile with beautifully aligned and whitened teeth, greatly enhancing their overall aesthetics and confidence.
Porcelain Veneers Before & After Case 4

The patient’s teeth displayed discoloration, uneven edges, and visible chipping. These imperfections impacted the aesthetics of their smile. Porcelain veneers were applied to cover the discolored and damaged areas, creating a uniform and smooth appearance. The veneers also improved the alignment and overall proportion of the teeth. The transformation is exceptional. The patient’s teeth now appear whiter, evenly shaped, and free of imperfections, resulting in a more radiant and confident smile.
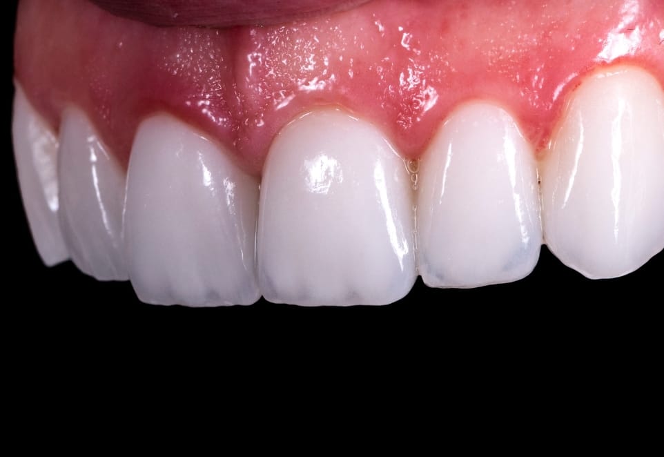
Porcelain Veneers Before & After Case 5

The patient’s teeth exhibited discoloration, uneven surfaces, and minor gaps. These imperfections detracted from the harmony and brightness of their smile. Porcelain veneers were expertly applied to address these issues. The custom-made veneers corrected the discoloration, smoothed the uneven edges, and closed the gaps, achieving a balanced and attractive appearance. The results are stunning. The patient’s teeth are now uniformly white, perfectly aligned, and free of imperfections. This remarkable transformation has greatly enhanced their smile’s aesthetics and boosted their confidence.
Porcelain Veneers Before & After Case 6

The patient’s teeth showed signs of discoloration and uneven shapes, creating a less harmonious and appealing smile. Porcelain veneers were applied to enhance the appearance of the teeth. These custom-crafted veneers covered the imperfections, corrected the uneven shapes, and brightened the overall look. The transformation is striking. The patient’s teeth now appear uniformly white and perfectly shaped, creating a balanced and aesthetically pleasing smile. This change has significantly boosted their confidence and smile quality.
Porcelain Veneers Before & After Case 7

The patient’s teeth were discolored, uneven in shape, and lacked the visual appeal of a well-proportioned smile. Porcelain veneers were applied to enhance the appearance of the teeth. These custom-designed veneers effectively addressed the discoloration, evened out the shapes, and created a brighter, harmonious smile. The transformation is impressive. The patient’s teeth now appear uniformly white, aesthetically balanced, and flawlessly aligned. This improvement has significantly boosted their smile’s radiance and confidence.
Porcelain Veneers Before & After Case 8

The patient’s teeth exhibited discoloration and uneven coloration, which detracted from the overall brightness and uniformity of their smile. Porcelain veneers were applied to improve the aesthetics of the teeth. These custom-designed veneers effectively concealed the discoloration and created a more harmonious and radiant appearance. The transformation is striking. The patient now enjoys a beautifully even and naturally vibrant smile, with whiter teeth that enhance both the aesthetics and confidence of their overall look.
Porcelain Veneers Before & After Case 9

The patient’s teeth showed significant discoloration and uneven shapes, impacting the overall harmony and brightness of their smile. Porcelain veneers were applied to address these imperfections. The custom-made veneers effectively covered the discoloration and smoothed the uneven edges, achieving a more uniform and radiant appearance. The transformation is exceptional. The patient now has a beautifully balanced and aesthetically pleasing smile, featuring uniformly white teeth that significantly enhance their confidence and overall appearance.
Porcelain Veneers Before & After Case 10

The patient’s teeth displayed discoloration and uneven shapes, with visible surface imperfections that disrupted the aesthetic balance of their smile. Porcelain veneers were applied to effectively conceal the discoloration and smooth out the irregular shapes. These custom-crafted veneers transformed the appearance of the teeth, achieving a more uniform and radiant look. The results are outstanding. The patient’s teeth now feature a consistently white, balanced, and aesthetically pleasing appearance. This transformation has significantly enhanced their smile and boosted their confidence.
Porcelain Veneers Before & After Case 11

The patient had uneven and discolored teeth, affecting the overall appearance of their smile and creating an inconsistent aesthetic. Porcelain veneers were applied to transform the smile. These custom-crafted veneers effectively concealed the discoloration and addressed the uneven shapes, creating a harmonious and polished look. The results are outstanding. The patient now has a radiant, perfectly aligned smile with whiter and more uniform teeth, significantly enhancing their confidence and smile aesthetics.
To learn more about our before and after pictures of veneers, call us at 516-352-1000. Schedule your consultation with the expert dentists at Clock Tower Dental.

